We use cookies to offer you the best browsing experience on our website.
The banner remains until you make a choice.

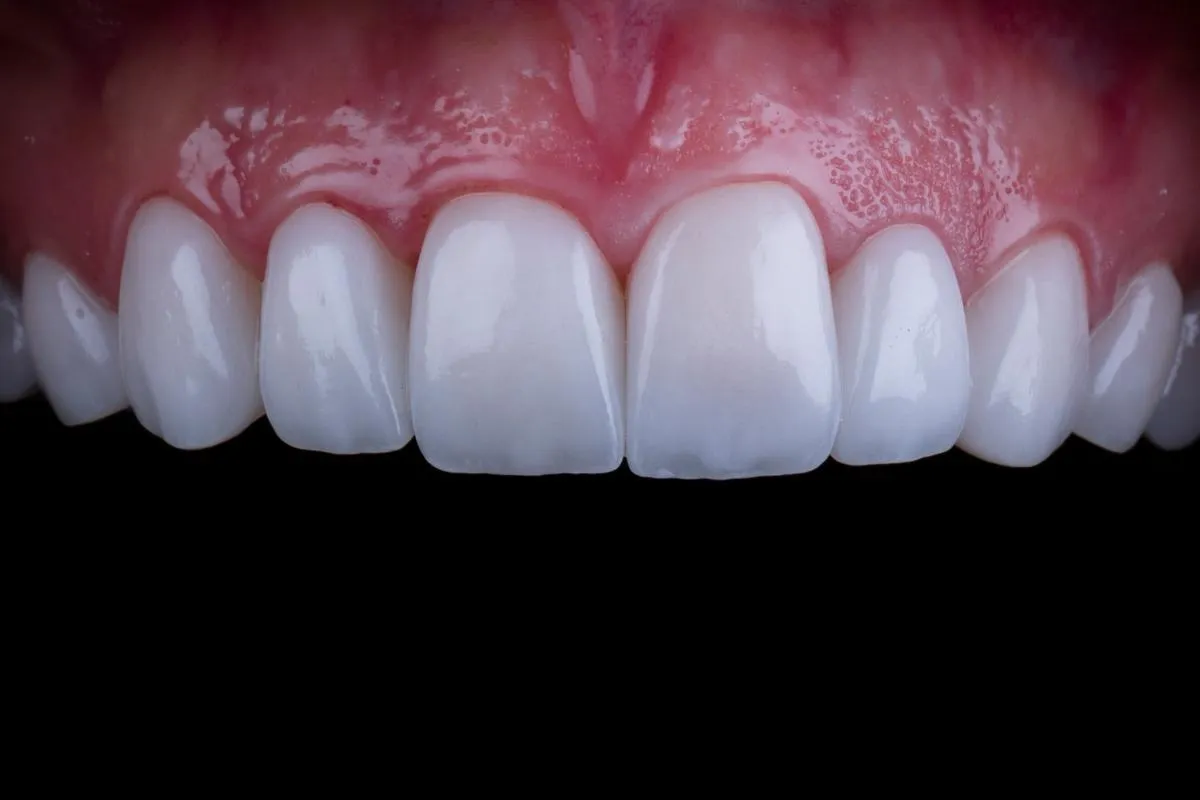
Is there a micro fracture in your tooth or some disharmony in color and size of your dentition? One of the most important developments in dentistry took place in the area of bonding. This evolution led to the production of biomaterials that made possible the effective correction of aesthetic problems in the mouth. In this case, the restorative material is the composite resin which is available in a variety of colors to match your natural dentition.
Compared with other restorations is the less expensive. The procedure is simple and minimally invasive for your natural teeth.
Initially the dentist etches the tooth’s surface and applies the appropriate adhesive material. Then the composite resin is placed and cured with ultraviolet light. The final shape is rendered with special cutting and grinding tools. Usually the process is completed in one session. The CR restoration can be a permanent smile recovery solution or can be used as a temporary restoration until another scheduled final work is ready to be put on. It is considered to be ideal for children after injury, which is a common phenomenon.
The main disadvantage of these restorations is that they absorb pigments, like natural teeth do. Drinking coffee, red wine and smoking aggravate discoloration. Adhesive ability of materials decreases when under excessive force, such as nail biting and clenching of teeth. Your dentist can help you decide if the CR restoration is suitable for you.
© 2026 Smile Make Over 4U – Dental Clinic in Kalamata, created by Karamanis Vasileios